ガミースマイル
歯と歯茎をキレイに仕上げ、貴方の素敵な笑顔づくりのお手伝いをいたします。
えっ!? もう治った と驚かれてます。
ガミースマイル
gummy smile
ガミー治療が歯周病予防になるの?
「歯茎が出てしまって笑えない!」 「左右で歯茎の長さが違う」
笑うと歯茎が出てしまう表情を“ガミースマイル”と言います。
このような症状でお困りの方、ご安心ください。最近の治療では、皆様が思われているよりも簡単に治療する事が可能です。
当院の経験豊富な医師が、歯肉短縮法にて治療を行い、歯茎を短くする事で歯と歯茎をキレイに仕上げ、貴方の素敵な笑顔づくりのお手伝いをいたします。
さあ、皆さんも楽しいときには、心から爽やかに笑いましょう!(^o^*)
ガミーの原因として、先天的に歯周ポケットが深い場合がございます。
歯の健康を考えると、審美の面だけではなく、合わせて歯周病の予防もご検討をされてはいかがでしょう?是非、一度当院までご相談ください。
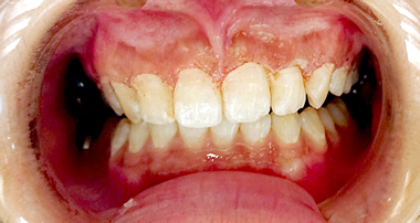
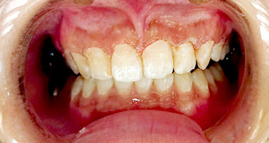
- 施術例 1
-



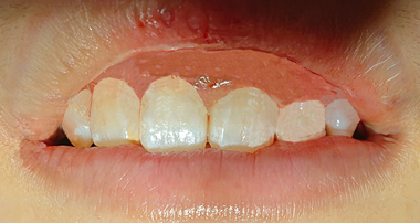
- 施術例 2
- 術前後
-



- 施術例 3
- 左右の歯茎の長さが 違っていましたので、揃えたケースです
-




- 施術例 4
-






- 施術例 5
- オぺ前、右のみカット、カット終了後
-







- 施術例 6
-






