歯周病治療
歯周病を専門として院長がレーザーを利用した痛みの伴わない治療を多用しています。
歯周病
歯と歯茎はピッタリ引っ付いているように見えますが、少し隙間があります。
この部分を「歯周ポケット」と言います。
この歯周ポケットに汚れ(歯垢)がたまる事により、歯周の炎症が始まります。
歯肉は粘膜でできており、そこに汚れが付くと言う事は...
例えれば目を不潔な手で触り「結膜炎」になってしまうのと同じ事で、目が充血したり目ヤニが出るように、歯肉も充血のためにちょっとした事(ブラッシング等)で出血したり、口臭の原因になったりします。


歯周ポケットに慢性的にたまった歯垢は、唾液中のカルシウム分と結合して石のように硬くなります。これを「歯石」と言います。
その歯石が歯を支える(歯が埋まっている)骨「歯槽骨」を溶かしてしまいます。
その結果、歯がグラグラしたり、噛むと痛みが走ったり、抜け落ちてしまうのです。
口腔内の様子

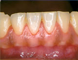
- 歯肉炎
歯茎が腫れ、所々に赤黒い部分が
できています。

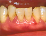
- 中度の歯周炎
歯茎が下がり、赤黒くぶよぶよと
変化しています。

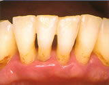
- 重度の歯周炎
歯茎の位置がかなり下がり、
歯の大部分が見えています。
骨(歯槽骨)の状態

- 正常
歯槽骨が正常な位置にあります。

- 中度の歯周炎
歯槽骨の位置が下がってきています。

- 重度の歯周炎
歯槽骨の位置がかなり下がり、
歯の大部分が見えている状態です。
歯周病を防ぐには、毎日のケアに加え、
定期的な歯科でのマウスクリーニングが必要です。
歯周病の原因となる歯垢は、毎日の正しいブラッシングである程度取り去る事ができますが、歯周ポケットやブラシの届きにくい部分は完全に取り去る事ができず、歯石になっていきます。歯石になってしまうと自分では取る事ができず、歯医者さんでの歯石取りが必要になります。
定期的に歯石を取り、健康な状態を保つ事が歯周病予防にとっては一番大事です。
当院では、予防歯科も行っております。
是非一度来院されて自分のお口の中の状態をチェックされて下さい。
- 往診も行っております。詳しくはお問合せ下さい。

- 「歯槽膿漏が治りました」
- 家族からよく「口が臭い」といわれてしました。
歯茎がはれ、膿が出て切開してもらうとよくなるけど数ヶ月もすれば又元の状態、その繰り返しで何年か経ちました。
歯科も数ヶ所か変わりましたがよくなりません。私の歯槽膿漏はもう治らないものと諦めていた、そんなときに武田先生と出会いました。
切開とレーザー治療で他の先生方はら見放されていた歯槽膿漏が治ったのです。
少しばかり時間はかかりましたけど、自覚できるほど口の悪臭もねばねば感もなくなり、人様と話すとき、手で口を隠す必要もなりなりました。
歯もぐらぐらしなくなり、自分の歯でしっかりと物が咬めてます。先生には本当に感謝しております。
同じような悩みをもたれる方に自信を持ってお勧めします。
早まって抜歯などしてしまう歯科が多い中、専門の知識を持つ先生の元へ真面目に通院すること。必ず治りますよ!68歳女性北九州在住

